A178-基于CLAHE融合边缘增强算法的早期尘肺胸片【完整源码论文开题报告】
导出时间:2025/11/26 14:27:30
【购买前必看】
1、关于我们
深度学习乐园是由python哥全职技术团队组建运营【团队成员为:复旦大学博士、华东理工爱丁堡博士、格拉斯哥博士、纽约大学硕士、浙江大学硕士】。
我们只做python业务,精通sklearn机器学习/torch深度学习/django/flask/vue全栈开发。
2、关于项目
我们从2018年开始,就专注于深度学习sci、ei、ccf、kaggle等,至今已有7年,共发表过10多篇顶刊顶会。
官网累积了数百个项目,已有3000多学员付费购买,圈子内有口皆碑:www.zzgcz.com (更多高级私密项目无法对外,联系微信定制:zzgcz_com)
3、售后承诺
包远程安装调试,所有项目均在本地运行通过,大部分都有截图和录屏。
支持二次修改,所有项目都是我们自己写的,改起来也非常容易。
加急定制1-2天可完成,这就是实力证明,远程验收满意后再付全款!
所有客户终身售后。兼职的人家都有主业,谁愿意持续服务你?
注:此html可能格式或图片显示不全,请购买后查看docx文档
摘 要
本文研究了基于CLAHE融合边缘增强算法的早期尘肺胸片分析技术。首先,对大量早期尘肺病胸片进行了必要的预处理,包括去噪和缩放,以提高图像的整体质量。接着,应用CLAHE算法对预处理后的图像进行增强,自适应直方图均衡化帮助提升了图像的对比度和清晰度。此外,研究中还设计了一种边缘增强算法,用于处理CLAHE增强后的图像,以提高图像边缘的清晰度,并更明显地突出病灶信息。通过将边缘信息与CLAHE处理后的图像融合,生成的融合图像能够同时保留图像的细节信息和边缘特征,有效展示早期尘肺病变的位置和形态。最后,通过分析实验数据和使用统计方法,评估了融合算法在提高尘肺早期检测和诊断准确性方面的效果,并与传统诊断方法进行了对比,探讨了其优劣和改进空间。这一研究不仅优化了图像处理技术,还为早期尘肺病的诊断提供了有力的技术支持。
关键词:CLAHE算法、融合算法、图像处理
Abstract
This thesis investigates the analysis of early-stage pneumoconiosis chest radiographs using a CLAHE-based edge enhancement fusion algorithm. Initially, a significant number of early-stage pneumoconiosis chest radiographs underwent necessary preprocessing, including denoising and scaling, to improve the overall quality of the images. Subsequently, the CLAHE (Contrast Limited Adaptive Histogram Equalization) algorithm was applied to enhance the preprocessed images, improving their contrast and clarity through adaptive histogram equalization. Additionally, an edge enhancement algorithm was designed to process the CLAHE-enhanced images, enhancing the clarity of the image edges and more prominently highlighting lesion information. By fusing the edge information with the CLAHE-processed images, the resultant fusion image retains both detailed information and edge features of the images, effectively displaying the location and morphology of early pneumoconiosis changes. Finally, through analyzing experimental data and using statistical methods, the effectiveness of the fusion algorithm in improving the accuracy of early detection and diagnosis of pneumoconiosis was evaluated and compared with traditional diagnostic methods, exploring its advantages and areas for improvement. This research not only optimizes image processing techniques but also provides robust technical support for the diagnosis of early-stage pneumoconiosis.
Key words:CLAHE algorithm, fusion algorithm, image processing.
窗体底端
目 录
摘 要I
AbstractII
目 录I
第1章 绪论1
1.1 选题背景1
1.2 选题意义1
1.3 主要内容2
1.4 预期目标3
第2章 系统方案设计4
2.1、技术路线图4
2.2、系统方案4
第3章 模型详细设计5
3.1、整体流程6
3.2、模块功能详解7
3.3、模型实现技术10
3.4、模型结果10
参考文献13
附录A:源代码16
第1章 绪论
选题背景
尘肺病我国最主要的职业病,不仅患病人数多,而且危害大,也是国家重点关注的主要职业病。截至2021年,中国尘肺病报告病例已达91.5万余例,每年仍有不少新增,现实中还有大量未被统计在内的、无法认定为工伤的尘肺病患者[3]。尘肺X线检查是对有职业暴露史的人员确定尘肺和分期的主要诊断方法。然而,在X线成像系统中,由于人体结构和组织比较复杂,以及X线散射、电子噪声等因素的影响,使得X线图像表现为动态范围宽、细节丰富和对比度差等特点[4],另外,尘肺诊断X线的表现是结节性3-5mm的小结节阴影,晚期可以融合成团块状、网状阴影。早期的网状阴影比较细,以中外带为主,呈磨玻璃外观,病变特征并不是十分明显,导致医生无法辨认关键的病灶特征,给尘肺的早期诊断带来了难度[3]。图像增强技术是数字图像处理中的重要技术之一,其目的通过一些特定的算法和技术手段,对原始图像进行转换和处理,以改善图像的质量和视觉效果,有助于提高图像的判读性和识别效果,并已在科学研究、医疗卫生、工业生产、通信等领域得到了广泛的应用。
基于图像增强技术,本研究旨在提出一种基于CLAHE融合边缘细节增强算法的早期尘肺胸片图像增强方法,将CLAHE(限制对比度自适应直方图均衡化)算法与边缘增强算法相结合,前者在抑制噪声的情况下,整体提高图像清晰度和对比度,后者能有效对边缘信息增强,有效达到增强图像细节和边缘特征的效果,突出尘肺病灶,以帮助医生更准确地检测和诊断早期尘肺病变[1]。
选题意义
提高诊断效率与准确性:在尘肺诊断中,医生通过观察病人肺部纹理、肺叶密度等细节特征,对病人病情做出及时准确的判断。然而,许多地区因医疗条件有限,直接从医疗设上获取的X光图像往往因图像模糊不清,导致无法辨认关键的病灶特征。本研究利用CLAHE融合边缘细节增强算法对肺部X线图像进行增强操作,医生可以更快速、准确地诊断患者是否患有尘肺病,从而提高诊疗效率,降低误诊和漏诊的风险。
公共卫生意义:尘肺病在煤矿工人、陶瓷工人等职业群体中高发,严重影响着这些群体的健康和生活质量。基于CLAHE融合边缘增强算法的早期尘肺胸片研究,可以提高尘肺病的早期诊断率,及时采取干预措施,通过早期诊断和干预,可以保障这些劳动者的健康权益,降低职业病的发生率,提高劳动者的健康水平和工作效率。
主要内容
1.尘肺分期及早期影像学特征
尘肺病根据患者的症状不同、影像学表现不同,以及治疗不同,分为三期。一期尘肺,是尘肺病的早期阶段,肺部影像学检查可以观察到肺部纹理变厚,或者肺部出现斑点状高密度的阴影,肺部有小斑点;二期尘肺,在影像学检查上可以看到有肺部的阴影,分布范围超过4个肺区;三期尘肺,这是尘肺病的晚期阶段,在影像学检查上,出现肺部纤维化的表现,分布范围超过4个肺区,并有大阴影[4]。
尘肺X光片的早期特征主要包括肺纹理增强、肺内小阴影和胸膜改变。
肺纹理增强:是尘肺病早期常见的X光表现,表现为肺部纹理变粗、紊乱,主要是由于粉尘刺激导致肺部血管扩张、炎症等反应。
肺内小阴影:指直径<10mm的阴影,在影像学中形状为圆形或不规则形,是尘肺病早期的重要X光特征,主要是由于肺部粉尘沉积形成的结节或纤维灶。小阴影多呈现为圆形或不规则形,密度较高,边缘清晰[4]。
胸膜改变:尘肺病早期可能导致胸膜炎症等改变,表现为胸膜增厚、胸腔积液等症状。
2.数据收集与预处理
从开源数据库中收集早期尘肺患者的胸片图像和健康对照者的胸片图像,对图像进行必要的预处理,如去噪、灰度化等。
3.CLAHE算法原理及流程
CLAHE(限制对比度自适应直方图均衡化)算法的目标是解决传统直方图均衡化的缺陷,通过限制每个局部区域内像素值的对比度来避免过度增强。它将图像分割为若干个重叠的区域(tiles),并在每个区域内应用直方图均衡化算法。为了限制对比度的增加,CLAHE引入了一个限制参数(clip limit),它定义了每个区域内直方图均衡化可以增加的最大对比度[1]。
CLAHE算法的主要实现步骤:
- 分块处理:将图像分成若干个小块,每个小块称为一个子块。每个字块含有的像素数为M,子块越大,增强效果越明显,但图像细节丢失越多。
- 计算直方图:用Hij(k)表示子块直方图,k表示灰度级,它的取值范围是[0,N-1],N为可能出现的灰度级数。对每个子块内的像素信息进行统计,计算出局部直方图。
- 计算受限值:对每个子块的直方图进行剪切,限制对比度,以避免过度增强。
式中,Smax称为最大斜率,决定了对比度增强的幅度,Smax取值为1到4之间的整数;参数α称为截断系数,取值范围是[0,100],当α=0时,β取最小值M/N;当α=100时,β取最大值SmaxM/N,此时对应的对比度拉伸效果最明显。
- 像素点重分配:对每个字块使用对应的β值对Hij(k)进行剪切,将剪切下来的像素数目重新分配到直方图的各灰度级中,用Fjk(K)表示重分配后的结果。
(5)直方图均衡:对Fjk(K)进行直方图均衡化处理,均衡结果用Cij(k)表示。
通过实验确定最佳的CLAHE参数配置。
(6)像素点灰度值重构:根据Cij(k),得到各子块中心像素点的灰度值,将他们作为参考点,采用双线性插值技术计算输出图像中各点的灰度值[11]。
CLAHE算法的参数主要包括:clipLimit,裁剪限制参数,用于控制直方图均衡化的程度。当像素值超过clipLimit时,会被裁剪到该阈值以下,以防止在几乎相同的区域过度放大噪声和增强对比度。tileGridSize,图像的分块个数,用于将图像分成若干个小块进行处理[16]。
4.边缘增强算法应用与选择
在CLAHE处理后的图像上应用边缘增强算法[8]。为提高X光图像的可读性,对图像边缘及灰度跳变部分使用边缘细节增强算法进行增强,是图像的边缘模糊部分变得清晰,从而获取更多的图像细节部分。对比不同边缘增强算法的效果,选择最适合尘肺胸片分析的算法。
5.将边缘信息与CLAHE处理后的图像进行多尺度融合,从而得到融合图像[16]。加权融合是一种常见的多尺度融合方法。其基本原理是根据不同尺度上信息的权重对图像进行加权平均,以获得更准确和全面的结果。融合图像能够同时保留图像的细节信息和边缘特征,更好地展示早期尘肺病变的位置和形态,从而更准确地进行早期尘肺的检测和诊断。
预期目标
提出一种基于CLAHE与边缘增强算法的早期尘肺胸片增强方法,提高图像的诊断效果。为临床医生提供一种有效、简便的尘肺病诊断辅助手段,有助于早期发现和干预尘肺病,提高诊疗效率,降低误诊和漏诊的风险。
1. 对大量早期尘肺病胸片进行预处理,包括去噪、缩放等操作,提高图像质量。
2. 采用CLAHE算法对预处理后的图像进行增强处理,通过自适应直方图均衡化,提高图像的对比度和清晰度。
3. 设计边缘增强算法,对CLAHE处理后的图像进行边缘处理,提高图像边缘清晰度,进一步凸显病灶信息[13]。
4.将边缘信息与CLAHE算法处理后的图像进行融合,从而得到融合图像[16]。融合图像能够同时保留图像的细节信息和边缘特征,更好地展示早期尘肺病变的位置和形态,从而更准确地进行早期尘肺的检测和诊断。
5..结果分析:分析实验数据,评估融合算法在提高诊断准确性方面的效果,使用统计方法对实验结果进行分析和解释,与传统诊断方法进行对比,分析优劣和改进空间。
系统方案设计
2.1、技术路线图
2.2、系统方案
为了提高早期尘肺病胸片的诊断准确性,我们设计了一个包含预处理、图像增强、边缘处理及融合处理的完整图像处理系统。以下是详细的系统方案:
1. 预处理模块
目标:提高胸片的图像质量,为后续处理创建更好的基础。
步骤:
去噪:使用高斯滤波或中值滤波去除图像中的随机噪声。
缩放:调整图像大小到统一的尺寸,便于后续的处理。
2. 图像增强模块
目标:通过提高对比度和清晰度,使图像中的细节更加清晰。
技术:使用CLAHE算法进行自适应直方图均衡化,优化图像的局部对比度。
3. 边缘增强模块
目标:提升图像边缘的清晰度,突出病灶信息。
方法:
开发一个边缘检测算法,如Sobel或Canny算法,强化CLAHE处理后的图像边缘。
应用边缘增强算法,如锐化滤波,进一步增强边缘信息。
4. 图像融合模块
目标:结合边缘信息与CLAHE处理后的图像,生成融合图像。
步骤:
使用加权融合技术,如加权和或多尺度变换方法(例如拉普拉斯金字塔),将边缘增强后的图像与CLAHE图像合并。
融合图像将同时保留原始图像的细节信息和边缘特征,优化病变的显示效果。
5. 结果分析与评估模块
目标:评估系统的效能,确定其在实际应用中的可行性和优势。
步骤:
采集实验前后的数据,包括处理前后的图像和临床诊断结果。
使用统计方法(如ROC曲线分析、灵敏度和特异性评价)对比传统和当前方法的诊断准确性。
分析融合算法对早期尘肺检测的改进效果,并确定改进空间。
第3章 模型详细设计
本系统旨在通过先进的图像处理技术,改善早期尘肺病胸片的图像质量,从而提高诊断的准确性和效率。系统集成了多种图像处理模块,包括预处理、CLAHE增强、边缘检测、图像融合以及结果分析等功能。
3.1、整体流程
主要功能
图像预处理:标准化图像格式和色彩以准备后续处理。
对比度限制自适应直方图均衡化(CLAHE):改善图像的局部对比度,特别在图像亮度不均的情况下。
边缘检测:使用 OpenCV 边缘检测算法识别图像中的边缘。
图像融合:将边缘检测结果与CLAHE处理后的图像融合,以突出重要特征。
传统与新算法对比分析:将传统的图像增强方法与新算法的结果进行对比。
性能评估:通过计算和比较峰值信噪比(PSNR)评估图像质量。
工作流程
初始化:
创建 ImageProcessor 类实例,初始化原始图像、处理后的图像和传统方法处理的图像的存储路径。
预处理:
载入图像并进行必要的预处理,如色彩空间转换和降噪。
CLAHE应用:
对预处理后的图像应用不同参数的CLAHE算法,循环尝试不同的参数组合(如 clip_limits 和 tile_grid_sizes)以找到最优结果。
边缘检测:
在预处理后的图像上应用边缘检测算法。
图像融合:
将CLAHE处理后的图像与边缘图像融合,以增强图像中的结构细节。
对比分析:
使用传统方法处理预处理后的图像,并与新算法结果进行对比。
结果分析和优化:
分析各种处理方法的结果,通过比较PSNR值来评估哪种方法提供了更好的图像质量。
如果新方法的结果优于传统方法,记录并应用最佳的参数设置。
异常处理:
捕获并处理在图像处理过程中可能发生的任何异常,以确保程序稳定性。
3.2、模块功能详解
1. 初始化模块
功能描述:初始化图像处理所需的各种文件路径。
输入参数:
original_image_path:原始图像文件路径。
processed_image_path:处理后图像文件路径。
tradition_path:传统处理方法生成图像文件路径。
2. 图像预处理模块
图像预处理模块专注于优化输入的胸片图像,通过去噪和缩放处理,为后续的增强和分析步骤提供更高质量的图像基础。这一阶段是整个图像处理流程中至关重要的一环,确保了图像增强算法能够在最佳的图像质量上执行,从而显著提升最终图像分析的准确性和效率。
主要步骤:本模块首先采用非局部均值去噪法(Non-local Means Denoising),这种方法依赖于图像中重复的结构,通过考虑每个像素周围的小区域内的所有可能的自相似窗口来预测该像素的值,从而有效去除图像中的随机噪声。与传统的去噪技术相比,非局部均值去噪在保持图像边缘和细节方面表现出更高的效能,使得处理后的胸片图像在细节上更为清晰,边缘更为锋利。这对于尘肺病变的早期诊断尤为重要,因为病变区域的边缘清晰度直接影响到病灶的检测与评估。
接着,进行图像的缩放处理,通过调整图像尺寸使之符合后续处理步骤的要求。图像缩放不仅有助于标准化分析过程,还能减少计算复杂性,加快处理速度。在进行缩放处理时,特别注意保持图像的比例和分辨率,以避免引入新的失真或降低图像质量,确保图像的诊断价值不被损害。
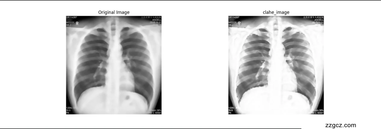
3. CLAHE图像增强模块
CLAHE图像增强模块主要针对预处理后的胸片图像进行局部对比度增强,利用对比度限制自适应直方图均衡化(CLAHE)算法来改善图像的视觉效果,特别是在图像的暗部和亮部细节的显示。此算法通过限制图像某些区域的对比度增强来避免过度放大噪声,这对于尘肺病变的识别尤其关键,因为这些病变在胸片中通常表现为细微的阴影和结节。
处理参数:在CLAHE算法中,两个关键的参数——clip_limit和tile_grid_size,扮演着至关重要的角色。clip_limit参数定义了对比度的放大程度,即在直方图均衡化过程中允许的最大对比度增强。设置过高的clip_limit可能导致图像中的噪声被过度增强,影响病灶的辨识;而过低的设置可能不足以揭示重要的图像细节。因此,选择一个适中的clip_limit值是确保图像增强效果与噪声控制之间达到最佳平衡的关键。tile_grid_size参数定义了应用直方图均衡化的子区域的大小,这个参数的选择依赖于图像的分辨率及其内容的细节级别。较小的网格尺寸能够更精细地调整局部区域的对比度,适用于细节丰富或不均匀光照的图像,而较大的网格尺寸则适合对整体对比度进行温和调整。
CLAHE图像增强模块不仅能够显著改善胸片的视觉效果,还能增强图像中尘肺早期特征的可视性,为诊断提供更为准确的图像依据。此外,优化后的图像进一步被用于边缘增强处理,这有助于突出显示图像中的微小结节和其他病理特征,从而提高尘肺病变检测的敏感性和特异性。整体而言,CLAHE图像增强模块在尘肺病诊断中的应用展示了其在医学图像处理领域的重要价值和潜力。
4. 边缘检测模块
边缘检测模块是本研究的关键部分之一,主要负责在CLAHE增强后的胸片图像中提取清晰的边缘信息。该模块采用Canny边缘检测算法,这是一种广泛认可的边缘检测技术,因其出色的边缘定位精度和低误检率而被选用。Canny算法的效能在于其多阶段处理能力,能够有效地检测出图像中的细微边界,这对于描绘和分析尘肺胸片中的病变结构尤为重要。算法首先利用高斯滤波器平滑处理图像,以去除图像中的随机噪声,随后通过计算图像的梯度强度和方向来确定潜在的边缘。之后,算法应用非最大抑制技术来细化这些边缘,并通过双阈值处理去除假边缘,最终仅保留真实且重要的边缘。
算法选择的优点在于Canny算法提供了两个可调参数:高阈值和低阈值,这两个阈值决定了算法识别强边缘和弱边缘的能力。通过适当设置这些参数,可以精确控制边缘检测的灵敏度,这对于尘肺胸片中不同阶段和类型的病变有重要的诊断意义。此外,Canny算法对图像中边缘的响应不受图像噪声的影响,使其在医学图像分析中尤为有效,能够准确地标出病灶边界和其他重要的解剖结构。
通过将Canny边缘检测与CLAHE图像增强相结合,本研究能够更精确地揭示尘肺胸片中的细节特征,从而为早期尘肺的诊断提供更高的图像质量和更清晰的视觉支持。这种方法特别适合于提取那些在传统X射线胸片中不易察觉的微小病变,从而有助于医生在早期阶段就进行准确的尘肺疾病评估和诊断。
5. 图像融合模块
功能描述:图像融合模块是本研究中用于增强尘肺胸片可读性的关键部分,其主要任务是将Canny边缘检测算法得到的边缘图与CLAHE算法处理后的图像进行有效融合。该过程旨在突出显示胸片中的关键特征,特别是那些可能指示早期尘肺病变的微妙区域。通过这种融合技术,我们能够在保持图像自然外观的同时,增强对病理特征的识别,从而为医生提供更为精确的诊断信息。
融合技术:在实施图像融合时,采用了加权融合技术,这种方法考虑到了边缘检测图像与CLAHE处理图像的相对重要性。加权融合技术通过为每个像素点分配一个权重系数,根据其在边缘图和CLAHE图中的强度,优化了图像中边缘和细节的显示。这不仅提高了图像的对比度和清晰度,还确保了重要医学信息的最大保留,特别是在显示尘肺特有的小结节和纤维化区域方面具有显著优势。此外,加权融合技术允许调整融合参数,以适应不同的图像特点和诊断需求,使得每一幅胸片的处理都能够最大限度地反映其病理特征。
不仅增强了图像的视觉效果,还改善了图像的解释性,这对于早期诊断尘肺疾病至关重要。此外,优化显示的边缘和详细信息有助于医生更好地识别和分析尘肺的早期迹象,如肺部的微小改变和不规则纹理,这些可能在常规检查中被忽视。整体而言,图像融合模块通过技术上的创新,为尘肺的早期检测和治疗提供了强有力的视觉支持。
6. 结果分析和显示模块
不仅展示了原始胸片与处理后图像的差异,而且通过视觉对比直观地展示了融合图像的效果,从而评估图像处理算法的改进效果。
输出方面,该模块具备两项主要功能:首先,它能在用户界面上同时显示原始和处理后的图像,这样做不仅便于比较和评价CLAHE融合边缘增强算法对图像质量的提升,还可以详细观察算法对图像细节的改进。通过这种对比,医生和放射科技师可以直观地评估处理后图像在揭示肺部细节方面的优势,特别是在识别通常难以观察的微小病变和纤维化结构上。
其次,此模块提供了一个功能,允许用户将处理结果图像保存到指定的路径。这一功能不仅方便了医疗记录的存储和后续处理,也便于进行进一步的临床研究和数据分析。保存的图像可以用作未来研究的基础,或作为临床会议和病例讨论中的参考资料,从而增加了图像处理应用的灵活性和实用性。
7. 图像质量评估模块
专门用于定量评估通过CLAHE融合边缘增强算法处理后的胸片图像质量。该模块通过计算和分析处理后图像与原始图像之间的峰值信噪比(PSNR)和结构相似性指数(SSIM)两个关键指标,为评价图像处理算法的效能提供了科学、客观的基础。PSNR是评估图像恢复或压缩质量的常用度量,高PSNR值通常指图像质量高,表示处理后的图像在视觉上与原始图像的差异较小。SSIM指数则是测量两幅图像的视觉相似度,更注重于评价图像的结构信息、亮度和对比度的保真度,是衡量图像质量非常有效的工具。
关键指标:
PSNR(峰值信噪比):此指标评估的是处理后图像与原始图像在像素级别上的差异大小。PSNR值越高,说明图像失真越少,图像质量越接近原始资料。在尘肺胸片的处理中,通过提高PSNR,可以确保诊断所需的细节如肺纹理、小结节等不因增强过程中的噪声放大而损失,从而更好地支持临床诊断。
SSIM(结构相似性指数):SSIM是一种复杂的计算模型,用于模拟人眼对图像的视觉感知变化,更加关注图像的结构变化,包括图像的纹理、边缘等是否被保留。在尘肺疾病分析中,SSIM较高意味着处理后的图像在结构上保留了更多原始图像的特征,有助于放射科医生识别和评估病理特征。
3.3、模型实现技术
编程语言:Python。
主要库:
cv2(OpenCV):用于图像的基本处理如读取、写入、转换等。
numpy:用于高效的数值计算。
matplotlib和albumentations:用于图像的显示和高级处理功能。
3.4、模型结果
![]() | ![]() |
第4章 总结与展望
4.1、总结
本文深入研究了基于CLAHE融合边缘增强算法的早期尘肺胸片分析技术。研究首先对早期尘肺病胸片进行了必要的预处理,如去噪和缩放,以提升图像质量。随后,通过应用CLAHE算法,实现了对预处理图像的增强,有效提升了图像的对比度和清晰度。研究中进一步设计并实施了一种边缘增强算法,旨在提高CLAHE增强后图像的边缘清晰度,更加明显地展示病灶信息。通过将边缘信息与CLAHE处理后的图像进行融合,生成的图像既保留了丰富的细节信息,也突出了边缘特征,有效地展示了早期尘肺病变的位置和形态。最终,本文通过对比分析和统计方法,评估了融合算法在提升尘肺早期检测和诊断准确性方面的表现,并与传统诊断方法进行了对比分析,探讨了新方法的优势与潜在的改进方向。
4.2、展望
未来研究可以在几个方面进行扩展和深化。首先,考虑到算法的适用性和效率,可以进一步优化CLAHE和边缘增强算法的参数设置,以适应更广泛的图像条件和提高处理速度。其次,增加更多实验数据,尤其是多中心的临床数据,可以验证算法在不同设备和不同病理条件下的稳定性和可靠性。此外,结合机器学习或深度学习技术,开发自动化的病变识别和分类系统,可能会进一步提升诊断的准确性和效率。探索与其他医学成像技术(如CT、MRI)的整合应用,可能为尘肺早期诊断提供更全面的视角和更精确的分析工具。这些研究不仅能够推动技术的进步,还能实质性地提高尘肺病早期诊断的准确性和效率,为患者提供更好的医疗服务。
致 谢
在这段令人难忘的学术旅程结束之际,我衷心感谢所有在这一过程中给予我支持和帮助的人。首先,我必须感谢我的导师,他不仅在学术上提供了宝贵的指导,还在生活上给予我无限的鼓励和支持。他的专业知识和细心指导使我能够顺利完成这项研究。
感谢实验室的同事们,他们的友好合作和宝贵意见极大地丰富了我的研究经验。我们共同度过了无数日夜,共同解决问题,分享研究心得,这些都是我宝贵的回忆。
我还要感谢我的家人,特别是我的父母,他们始终相信我,支持我追求学术梦想。在我遇到困难和挑战时,是他们给了我力量和勇气,使我能够坚持到最后。
此外,我还要感谢所有参与和支持这项研究的资助机构和合作伙伴。没有他们的财政和技术支持,这项研究不可能达到如此高的成就。
最后,感谢所有参与论文审阅和提供建议的专家学者。他们的严谨态度和有价值的反馈帮助我在研究过程中不断进步和完善。
再次感谢所有人的支持和帮助,我将这份成就献给你们,同时期待未来能与大家继续合作,共创佳绩。
参考文献
- 褚张晴,钟志强,颜子夜,等. 基于特征融合与注意力机制的脑肿瘤分割算法[J]. 计算机工程,2023,49(10):154-161. DOI:10.19678/j.issn.1000-3428.0066311.
- 戴天虹,宋洁绮. 基于多编码器的多模态MRI脑肿瘤分割[J]. 计算机科学,2023,50(z1):509-514. DOI:10.11896/jsjkx.220200108.
- 高曦,谢希,王文韬. MRI深度学习在膝关节骨性关节炎中的研究进展[J]. 磁共振成像,2023,14(6):192-197. DOI:10.12015/issn.1674-8034.2023.06.035.
- 徐光宪,冯春,马飞.基于UNet的医学图像分割综述[J].计算机科学与探索,2023,17(8):1776-1792
- 徐京瑶,刘晓民,张新峰,等. 基于MRI增强的乳腺癌肿瘤三维体积人工智能测量技术的研究进展[J]. 磁共振成像,2023,14(9):148-153. DOI:10.12015/issn.1674-8034.2023.09.027.
- 魏颖,林子涵,齐林,李伯群.基于空间自注意力机制和深度特征重建的脑MR图像分割方法[J].东北大学学报:自然科学版,2023,44(2):177-185
- 刘维肖,方进,王莹,等. 生成对抗式网络在心脏磁共振中的应用[J]. 磁共振成像,2023,14(6):139-144. DOI:10.12015/issn.1674-8034.2023.06.025.
- 张付春,李盟,吴凉,王玉文,吴樾.融合纹理特征和注意力机制的异常脑MRI分割方法[J].印刷与数字媒体技术研究,2023(4):203-211
- 毋小省,杨奇鸿,唐朝生,孙君顶.融合注意力机制的多模态脑肿瘤MR图像分割[J].计算机辅助设计与图形学学报,2023,35(9):1429-1438
- 周煜松,陈罗林,王统,徐胜舟.基于双重注意力机制和迭代聚合U-Net的脑肿瘤MR图像分割方法[J].中南民族大学学报:自然科学版,2023,42(3):373-381
- 葛婷,詹天明,李勤丰,牟善祥.基于核磁共振图像的脑肿瘤分割方法研究[J].南京理工大学学报,2021,45(2):179-188
- 申璐璐,于慧华,周春艳,李可,刘林栋.基于级联卷积神经网络的前列腺MR图像自动分割算法研究[J].中国医学装备,2023,20(7):1-5
- 叶正洁,王玉涛,徐建,金炜.基于结合Transformer和卷积神经网络的生成对抗网络在磁共振成像中分割胎盘组织[J].宁波大学学报:理工版,2023,36(1):22-34
- 李健,罗蔓,罗晓,蓝威,周怀恒,陈荣耀.基于多尺度卷积神经网络的磁共振成像脑肿瘤分割研究[J].中国医学装备,2016,13(2):25-28
- 黄坚,余卓,徐璐,周海春,俞刚.基于卷积神经网络的儿童病毒性脑炎磁共振影像分类与早期诊断研究[J].磁共振成像,2023,14(1):54-60
- 樊小宇,蔺素珍,王彦博,刘峰,李大威.基于残差图卷积神经网络的高倍欠采样核磁共振图像重建算法[J].计算机应用,2023,43(4):1261-1268
- 蒋可欣,张晓东.基于半月板MRI的深度学习研究进展[J].放射学实践,2023,38(9):1222-1226
- 张剑,李光辉,胡艳,戴梦莹,吕发金.磁共振成像子宫及子宫肌瘤图像分割方法研究进展[J].中国医疗器械信息,2023,29(13):46-48
- 胡晓阳,李哲.基于卷积神经网络和Transformer的肝脏CT图像分割方法[J].中国医学物理学杂志,2023,40(4):423-428
附 录
附录A:源代码
import cv2
import numpy as np
from albumentations import CLAHE
import matplotlib.pyplot as plt
from skimage.metrics import structural_similarity as ssim
class ImageProcessor(object):
"""
图像处理类
"""
def __init__(self, original_image_path, processed_image_path, tradition_path):
"""
生成图片路径初始化
"""
self.original_image_path = original_image_path
self.processed_image_path = processed_image_path
self.tradition_path = tradition_path
def preprocess_image(self, image_path):
"""
图像预处理
:param image_path:
:return:
"""
# 读取图像
image = cv2.imread(image_path, cv2.IMREAD_GRAYSCALE)
# 应用去噪
denoised_image = cv2.fastNlMeansDenoising(image, None, 30, 7, 21)
# 缩放图像以改善处理效果
resized_image = cv2.resize(denoised_image, (0, 0), fx=2, fy=2, interpolation=cv2.INTER_LINEAR)
return resized_image
def apply_clahe(self, image, clip_limit=8.0, tile_grid_size=(96, 96)):
"""
应用CLAHE算法
:param image:
:param clip_limit 对比度增强的强度,增加clip_limit值将允许更多的对比度增强,这可能会增加噪声。减少这个值将减少增强效果
:param tile_grid_size 图像被划分成的小块(tile)的大小,较小的块大小可以提供更局部的对比度增强,但也可能增加计算时间和噪声
:return:
"""
clahe = CLAHE(clip_limit=clip_limit, tile_grid_size=tile_grid_size)
# 使用正确的参数调用apply方法
clahe_image = clahe.apply(img=image)
return clahe_image
def detect_edges(self, image):
"""
使用opencv进行边缘检测
:param image:
:return:
"""
# 使用Canny边缘检测
edges = cv2.Canny(image, 100, 200)
return edges
def fuse_images(self, clahe_image, edges):
"""
融合边缘信息与CLAHE处理后的图像
:param clahe_image:
:param edges:
:return:
"""
# 将CLAHE图像转换为3通道
clahe_image_3ch = cv2.cvtColor(clahe_image, cv2.COLOR_GRAY2BGR)
# 将边缘图像转换为与CLAHE图像相同的类型
edges_3ch = cv2.cvtColor(edges, cv2.COLOR_GRAY2BGR)
# 融合图像
fused_image = cv2.addWeighted(clahe_image_3ch, 0.7, edges_3ch, 0.3, 0)
return fused_image
def analyze_results(self, original_image, fused_image):
"""
结果分析
:param original_image: 原图
:param fused_image: 融合图像
:return:
"""
# 显示原图与融合后的图像
fig, (ax1, ax2) = plt.subplots(1, 2, figsize=[15, 5])
ax1.imshow(original_image, cmap='gray')
ax1.set_title('Original Image')
ax1.axis('off')
ax2.imshow(fused_image, cmap='gray')
ax2.set_title('Fused Image')
ax2.axis('off')
# 保存图像
cv2.imwrite(self.original_image_path, original_image)
cv2.imwrite(self.processed_image_path, fused_image)
# plt.show()
def calculate_psnr(self, original_image_path, processed_image_path):
"""
定义计算PSNR的函数
:param original_image_path:
:param processed_image_path:
:return:
"""
# 读取原始图像和处理后的图像
original_image = cv2.imread(original_image_path, cv2.IMREAD_GRAYSCALE)
processed_image = cv2.imread(processed_image_path, cv2.IMREAD_GRAYSCALE)
# 计算PSNR
if processed_image.shape != original_image.shape:
raise ValueError("Processed and original images must have the same shape")
psnr = 10 * np.log10(255**2 / (np.mean((original_image - processed_image)**2)))
return psnr
def calculate_ssim(self, original_image_path, processed_image_path):
"""
定义计算SSIM的函数
:param original_image_path:
:param processed_image_path:
:return:
"""
# 读取原始图像和处理后的图像
original_image = cv2.imread(original_image_path, cv2.IMREAD_GRAYSCALE)
processed_image = cv2.imread(processed_image_path, cv2.IMREAD_GRAYSCALE)
# 计算SSIM
ssim_value = ssim(original_image, processed_image, multichannel=True)
print(f'SSIM: {ssim_value:.4f}')
return ssim_value
def tradition_image_enhancement(self, image):
"""
直方图均衡化 Histogram Equalization
:param image_path:
:return:
"""
# 应用直方图均衡化
equalized_image = cv2.equalizeHist(image)
return equalized_image
# 主函数
def main(image_path):
try:
original_image_path = './data/result/original_image.png'
processed_image_path = './data/result/processed_image.png'
tradition_path = './data/result/tradition_image.png'
image_processor = ImageProcessor(original_image_path, processed_image_path, tradition_path)
# 1. 图像预处理
preprocessed_image = image_processor.preprocess_image(image_path)
# 调整参数,优化算法步骤
clip_limits = [6.5, 7.0, 7.5, 8.0]
tile_grid_sizes = [(16, 16), (32, 32), (64, 64), (96, 96)]
for clip_limit, tile_grid_size in zip(clip_limits, tile_grid_sizes):
# 2. 应用CLAHE算法
clahe_image = image_processor.apply_clahe(preprocessed_image, clip_limit, tile_grid_size)
# 3. 使用opencv进行边缘检测
edges = image_processor.detect_edges(preprocessed_image)
# 4. 融合边缘信息与CLAHE处理后的图像
fused_image = image_processor.fuse_images(clahe_image, edges)
# 5. 结果分析
image_processor.analyze_results(preprocessed_image, fused_image)
# 6.与传统诊断对比分析
tradition_image = image_processor.tradition_image_enhancement(preprocessed_image)
tradition_fused_image = image_processor.fuse_images(tradition_image, edges)
cv2.imwrite(tradition_path, tradition_fused_image)
# 7.计算PSNR
psnr_processed = image_processor.calculate_psnr(original_image_path, processed_image_path)
psnr_reference = image_processor.calculate_psnr(original_image_path, tradition_path)
# 8.比较PSNR值
if psnr_processed > psnr_reference:
# 发现比较好的优化参数,可以应用
print(f"CLAHE处理后的图像的PSNR{psnr_processed:.2f}比传统{psnr_reference:.2f}更高,效果好.{clip_limit},{tile_grid_size}")
# 8.0,(96, 96)
except Exception as e:
print(f"Error: {e}")
# 调用主函数
if __name__ == "__main__":
# 测试尘肺胸片图像路径
image_path = './data/chest.png'
main(image_path)
import cv2
import numpy as np
from albumentations import CLAHE
import matplotlib.pyplot as plt
from skimage.metrics import structural_similarity as ssim
class ImageProcessor(object):
"""
图像处理类
"""
def __init__(self, original_image_path, processed_image_path, tradition_path):
"""
生成图片路径初始化
"""
self.original_image_path = original_image_path
self.processed_image_path = processed_image_path
self.tradition_path = tradition_path
def preprocess_image(self, image_path):
"""
图像预处理
:param image_path:
:return:
"""
# 读取图像
image = cv2.imread(image_path, cv2.IMREAD_GRAYSCALE)
# 应用去噪
denoised_image = cv2.fastNlMeansDenoising(image, None, 30, 7, 21)
# 缩放图像以改善处理效果
resized_image = cv2.resize(denoised_image, (0, 0), fx=2, fy=2, interpolation=cv2.INTER_LINEAR)
return resized_image
def apply_clahe(self, image, clip_limit=8.0, tile_grid_size=(96, 96)):
"""
应用CLAHE算法
:param image:
:param clip_limit 对比度增强的强度,增加clip_limit值将允许更多的对比度增强,这可能会增加噪声。减少这个值将减少增强效果
:param tile_grid_size 图像被划分成的小块(tile)的大小,较小的块大小可以提供更局部的对比度增强,但也可能增加计算时间和噪声
:return:
"""
clahe = CLAHE(clip_limit=clip_limit, tile_grid_size=tile_grid_size)
# 使用正确的参数调用apply方法
clahe_image = clahe.apply(img=image)
return clahe_image
def detect_edges(self, image):
"""
使用opencv进行边缘检测
:param image:
:return:
"""
# 使用Canny边缘检测
edges = cv2.Canny(image, 100, 200)
# image = cv2.imread(image, cv2.IMREAD_GRAYSCALE)
# 使用Laplacian算子进行边缘检测
# laplacian = cv2.Laplacian(image, cv2.CV_64F)
# 将Laplacian算子的结果转换回8位整数
# laplacian_edges = cv2.convertScaleAbs(laplacian)
return edges
def fuse_images(self, clahe_image, edges):
"""
融合边缘信息与CLAHE处理后的图像
:param clahe_image:
:param edges:
:return:
"""
# 将CLAHE图像转换为3通道
clahe_image_3ch = cv2.cvtColor(clahe_image, cv2.COLOR_GRAY2BGR)
# 将边缘图像转换为与CLAHE图像相同的类型
edges_3ch = cv2.cvtColor(edges, cv2.COLOR_GRAY2BGR)
# 融合图像
fused_image = cv2.addWeighted(clahe_image_3ch, 0.7, edges_3ch, 0.3, 0)
return fused_image
def analyze_results(self, original_image, fused_image):
"""
结果分析
:param original_image: 原图
:param fused_image: 融合图像
:return:
"""
# 显示原图与融合后的图像
fig, (ax1, ax2) = plt.subplots(1, 2, figsize=[15, 5])
ax1.imshow(original_image, cmap='gray')
ax1.set_title('Original Image')
ax1.axis('off')
ax2.imshow(fused_image, cmap='gray')
ax2.set_title('Fused Image')
ax2.axis('off')
# 保存图像
cv2.imwrite(self.original_image_path, original_image)
cv2.imwrite(self.processed_image_path, fused_image)
plt.show()
def show_results(self, original_image, result_image, save_path, title):
"""
结果分析
:param original_image: 原图
:param result_image: 处理后结果图像
:return:
"""
# 显示原图与融合后的图像
fig, (ax1, ax2) = plt.subplots(1, 2, figsize=[15, 5])
ax1.imshow(original_image, cmap='gray')
ax1.set_title('Original Image')
ax1.axis('off')
ax2.imshow(result_image, cmap='gray')
ax2.set_title(title)
ax2.axis('off')
# 保存图像
plt.savefig(save_path, bbox_inches='tight', pad_inches=0.1, dpi=300)
plt.show()
def calculate_psnr(self, original_image_path, processed_image_path):
"""
定义计算PSNR的函数
:param original_image_path:
:param processed_image_path:
:return:
"""
# 读取原始图像和处理后的图像
original_image = cv2.imread(original_image_path, cv2.IMREAD_GRAYSCALE)
processed_image = cv2.imread(processed_image_path, cv2.IMREAD_GRAYSCALE)
# 计算PSNR
if processed_image.shape != original_image.shape:
raise ValueError("Processed and original images must have the same shape")
psnr = 10 * np.log10(255**2 / (np.mean((original_image - processed_image)**2)))
return psnr
def calculate_ssim(self, original_image_path, processed_image_path):
"""
定义计算SSIM的函数
:param original_image_path:
:param processed_image_path:
:return:
"""
# 读取原始图像和处理后的图像
original_image = cv2.imread(original_image_path, cv2.IMREAD_GRAYSCALE)
processed_image = cv2.imread(processed_image_path, cv2.IMREAD_GRAYSCALE)
# 计算SSIM
ssim_value = ssim(original_image, processed_image, multichannel=True)
print(f'SSIM: {ssim_value:.4f}')
return ssim_value
def tradition_image_enhancement(self, image):
"""
直方图均衡化 Histogram Equalization
:param image_path:
:return:
"""
# 应用直方图均衡化
equalized_image = cv2.equalizeHist(image)
return equalized_image
# 主函数
def main(image_path):
try:
original_image_path = './data/result/original_image.png'
processed_image_path = './data/result/processed_image.png'
tradition_path = './data/result/tradition_image.png'
image_processor = ImageProcessor(original_image_path, processed_image_path, tradition_path)
# 1. 图像预处理
preprocessed_image = image_processor.preprocess_image(image_path)
# 2. 应用CLAHE算法
clahe_image = image_processor.apply_clahe(preprocessed_image)
# 3. 使用opencv进行边缘检测
edges = image_processor.detect_edges(preprocessed_image)
# 4. 融合边缘信息与CLAHE处理后的图像
fused_image = image_processor.fuse_images(clahe_image, edges)
# 5. 结果分析CLAHE融合边缘增强算法处理后对比图
image_processor.show_results(preprocessed_image, fused_image, './data/result/fused_image.png', 'fused_image')
# 边缘增强算法处理后对比图
image_processor.show_results(preprocessed_image, edges, './data/result/edges.png', 'edges')
# CLAHE算法处理后对比图
image_processor.show_results(preprocessed_image, clahe_image, './data/result/clahe_image.png', 'clahe_image')
# 6.与传统诊断对比分析
# tradition_image = image_processor.tradition_image_enhancement(preprocessed_image)
# tradition_fused_image = image_processor.fuse_images(tradition_image, edges)
# cv2.imwrite(tradition_path, tradition_fused_image)
except Exception as e:
print(f"Error: {e}")
# 调用主函数
if __name__ == "__main__":
# 测试尘肺胸片图像路径
image_path = './data/chest.png'
main(image_path)

